16. October 2025

Less can be more: Low-dose steroids could effectively treat severe kidney inflammation Less can be more: Low-dose steroids could effectively treat severe kidney inflammation

Study by researchers in Bonn and Hamburg shows that lower doses of cortisone may be sufficient for aggressive kidney inflammation

Will it be possible to treat severe kidney inflammation with fewer drugs in the future? A new study by the University Hospital Bonn (UKB), the University of Bonn, and the University of Hamburg gives cause for hope. The researchers show that even low, repeated doses of steroids could be enough to stop inflammation in particularly aggressive crescentic glomerulonephritis (cGN). The findings, which have now been published in Science Translational Medicine, could fundamentally change the treatment of many patients – and significantly reduce side effects.

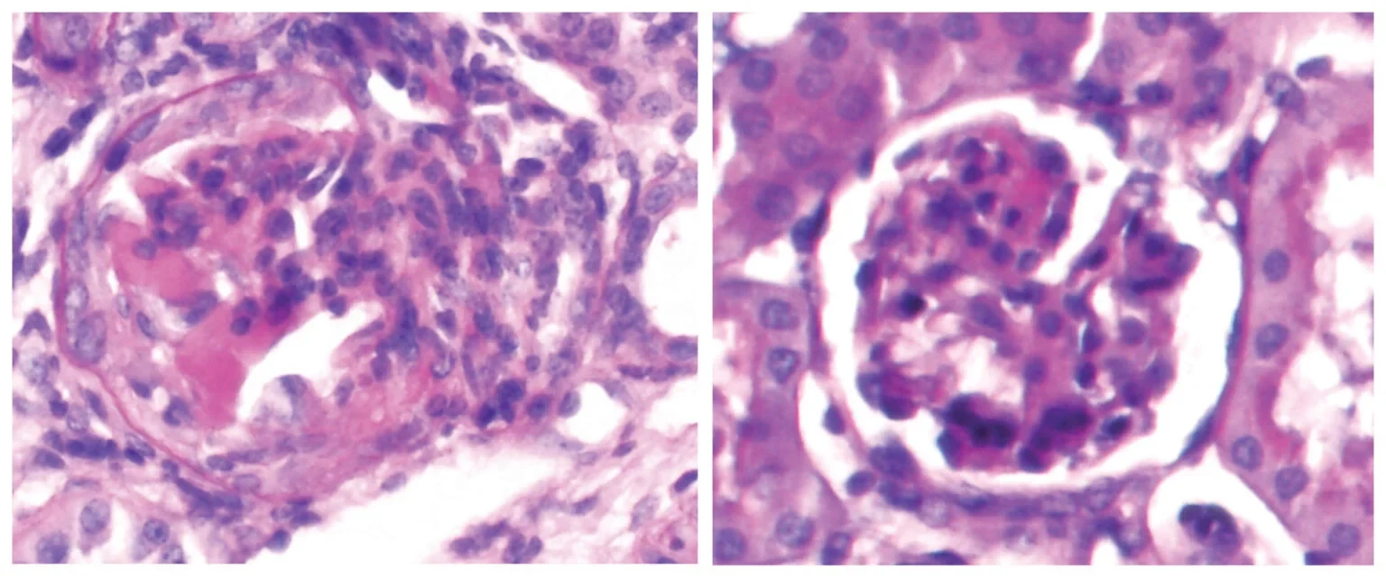
The left image shows a section of a kidney biopsy of a mouse - with crescentic glomerulonephritis (cGN), featuring a damaged glomerulus. The right image shows less glomerular injury in a nephritic mouse receiving low dose glucocorticoid treatment.
The left image shows a section of a kidney biopsy of a mouse - with crescentic glomerulonephritis (cGN), featuring a damaged glomerulus. The right image shows less glomerular injury in a nephritic mouse receiving low dose glucocorticoid treatment. © Image: University Hospital Bonn/lab Prof. Christian Kurts
Download all images in original size The impression in connection with the service is free, while the image specified author is mentioned.
Please fill out this field using the example format provided in the placeholder.
The phone number will be handled in accordance with GDPR.

cGN is one of the most dangerous forms of kidney inflammation. Without treatment, it can lead to terminal kidney failure within a few weeks. The standard therapy to date consists of high doses of glucocorticoids (steroids), which strongly suppress the immune system. Although these drugs are effective, they are often associated with significant side effects, including diabetes, osteoporosis, and severe infections.

The team led by Professor Christian Kurts, Director of the Institute for Molecular Medicine and Experimental Immunology at the UKB and member of the ImmunoSensation² Cluster of Excellence and the Transdisciplinary Research Area (TRA) “Life and Health” at the University of Bonn, has now investigated in more detail how steroids work in the kidney – and why lower doses may achieve the same effect. Using modern single-cell and spatial gene sequencing and disease models in mice, the researchers identified a specific subgroup of pro-inflammatory neutrophils as immune cells that significantly promote kidney damage. These cells originate directly in the inflamed kidney tissue and remain active there longer than normal neutrophils.

“Our study shows that doctors do not necessarily need extremely high doses of steroids to suppress these cells – small, repeated doses may be sufficient,” explains Prof. Kurts. In the mouse model, the researchers were able to show that low, regularly administered glucocorticoids block the formation of these harmful cells – even without an initial high dose. Kidney biopsies from patients treated with low doses also showed fewer of these immune cells.

“Single-cell sequencing allowed us to track the harmful neutrophils directly in the inflamed kidney,” says Dr. Junping Yin, first author of the study and doctoral student with Prof. Kurts. “This opens up new ways to use steroids in a more targeted and safer manner.”

If the results are confirmed in clinical trials, patients could benefit in the future from safer, low-dose therapies that protect their kidneys without putting unnecessary strain on the body. In the long term, the approach could also have an impact on other autoimmune and inflammatory diseases in which steroids are currently used in high doses. 
 

SponsorshipThe work was funded as part of the Excellence Strategy of the German federal and state governments by the ImmunoSensation² Cluster of Excellence at the University of Bonn and by the German Research Foundation (DFG) through the Collaborative Research Centers SFB 1192, SFBs 1454 and TR237, and IRTG2168.

Junping Yin et al.: Low-dose glucocorticoids attenuate crescentic glomerulonephritis by inhibiting the local differentiation of proinflammatory neutrophils, in: Science Translational Medicine, 2025, DOI: https://doi.org/10.1126/scitranslmed.adu0351  

Prof. Christian Kurts
Institute for Molecular Medicine and Experimental Immunology at the UKB
ImmunoSensation² Cluster of Excellence and TRA “Life and Health” at the University of Bonn
Email: ckurts@uni-bonn.de

Wird geladen