Universität Bonn

Medizinische Fakultät

16. Oktober 2025

Weniger kann mehr sein: Niedrig dosierte Steroide könnten schwere Nierenentzündungen wirksam behandeln Weniger kann mehr sein: Niedrig dosierte Steroide könnten schwere Nierenentzündungen wirksam behandeln

Studie von Bonner und Hamburger Forschenden zeigt, dass geringere Kortisondosen bei aggressiver Nierenentzündung ausreichen könnten

Können schwere Nierenentzündungen künftig mit weniger Medikamenten behandelt werden? Eine neue Studie des Universitätsklinikums Bonn (UKB), der Universität Bonn und der Universität Hamburg gibt Anlass zur Hoffnung. Die Forschenden zeigen, dass bei der besonders aggressiven crescentischen Glomerulonephritis (cGN) bereits niedrige, wiederholte Steroiddosen ausreichen könnten, um die Entzündung zu stoppen. Die Ergebnisse, die jetzt in Science Translational Medicine veröffentlicht wurden, könnten die Behandlung vieler Patientinnen und Patienten grundlegend verändern – und Nebenwirkungen deutlich reduzieren.

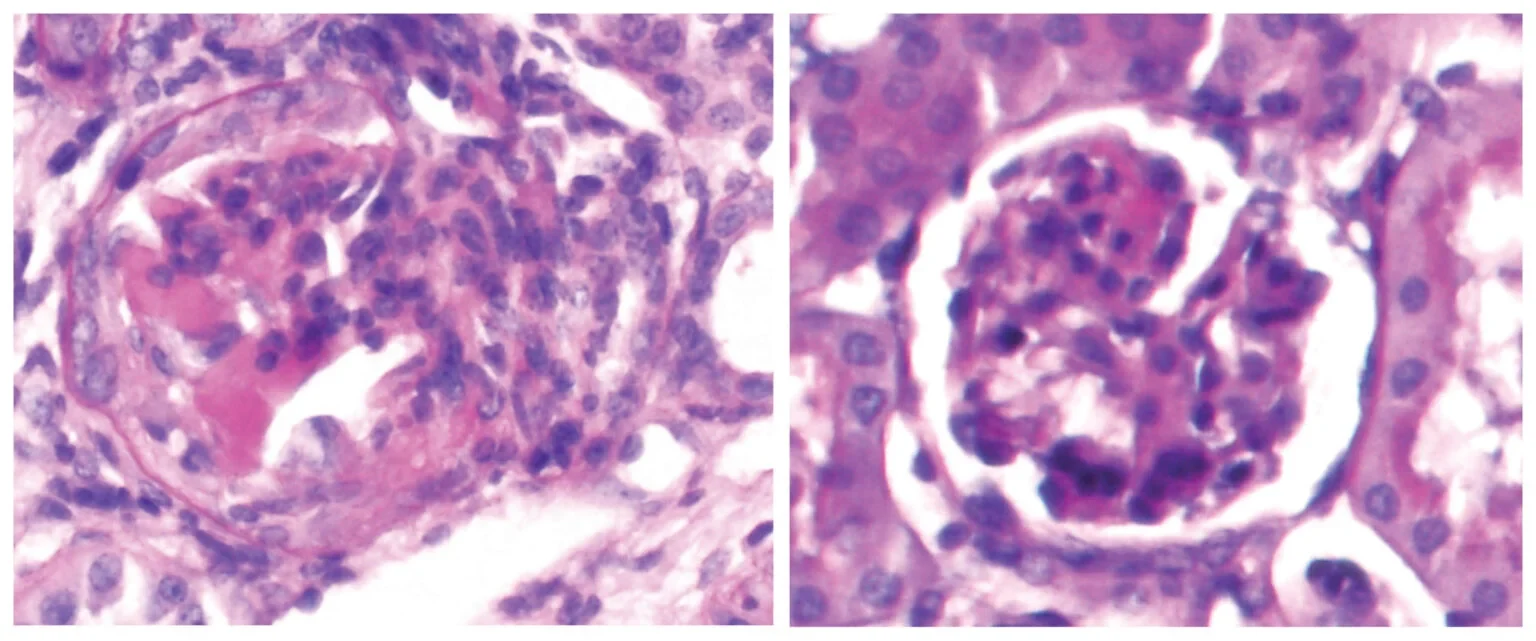
Histologische Aufnahmen zeigen den geschädigten Glomerulus (links) bei cGN-Mäusen sowie den weniger geschädigten Glomerulus (rechts) nach Behandlung mit einer niedrigen Dosis Glukokortikoiden.
Histologische Aufnahmen zeigen den geschädigten Glomerulus (links) bei cGN-Mäusen sowie den weniger geschädigten Glomerulus (rechts) nach Behandlung mit einer niedrigen Dosis Glukokortikoiden. © Universitätsklinikum Bonn (UKB) / AG Prof. Christian Kurts
Alle Bilder in Originalgröße herunterladen Der Abdruck im Zusammenhang mit der Nachricht ist kostenlos, dabei ist der angegebene Bildautor zu nennen.
Bitte füllen Sie dieses Feld mit dem im Platzhalter angegebenen Beispielformat aus.
Die Telefonnummer wird gemäß der DSGVO verarbeitet.

Die cGN zählt zu den gefährlichsten Formen der Nierenentzündung. Ohne Behandlung kann sie innerhalb weniger Wochen zu terminalem Nierenversagen führen. Die Standardtherapie besteht bislang aus hohen Dosen von Glukokortikoiden (Steroiden), die das Immunsystem stark unterdrücken. Diese Medikamente sind zwar wirksam, gehen aber oft mit erheblichen Nebenwirkungen einher – darunter Diabetes, Osteoporose und schwere Infektionen.

Das Team um Professor Christian Kurts, Direktor des Instituts für Molekulare Medizin und Experimentelle Immunologie des UKB und Mitglied im Exzellenzcluster ImmunoSensation² sowie im Transdisziplinären Forschungsbereich (TRA) „Life and Health“ der Universität Bonn hat nun genauer untersucht, wie Steroide in der Niere wirken – und warum geringere Dosierungen möglicherweise denselben Effekt erzielen. Mithilfe moderner Einzelzell- und räumlicher Gensequenzierung und Krankheitsmodellen in Mäusen identifizierten die Forschenden eine spezielle Untergruppe von entzündungsfördernden Neutrophilen als Immunzellen, die maßgeblich die Nierenschädigung vorantreiben. Diese Zellen entstehen direkt im entzündeten Nierengewebe und bleiben dort länger aktiv als gewöhnliche Neutrophile.

„Unsere Studie zeigt, dass Ärztinnen und Ärzte nicht zwingend extrem hohe Steroiddosen benötigen, um diese Zellen zu unterdrücken – kleine, wiederholte Dosen können ausreichen“, erklärt Prof. Kurts. Im Mausmodell konnten die Forschenden zeigen, dass niedrige, regelmäßig verabreichte Glukokortikoide die Bildung dieser schädlichen Zellen blockieren – selbst ohne eine anfängliche Hochdosisgabe. Auch in Nierenbiopsien von Patientinnen und Patienten, die mit niedrigen Dosen behandelt wurden, fanden sich weniger dieser Immunzellen.

„Einzelzellsequenzierung hat uns ermöglicht, die schädlichen Neutrophilen direkt in der entzündeten Niere zu verfolgen“, sagt Dr. Junping Yin, Erstautorin der Studie und Doktorandin bei Prof. Kurts. „Das eröffnet neue Wege, Steroide gezielter und sicherer einzusetzen.“

Sollten sich die Ergebnisse in klinischen Studien bestätigen, könnten Patientinnen und Patienten künftig von sichereren, niedrig dosierten Therapien profitieren, die ihre Nieren schützen, ohne den Körper unnötig zu belasten. Der Ansatz könnte langfristig auch Auswirkungen auf andere Autoimmun- und Entzündungserkrankungen haben, bei denen Steroide bislang in hohen Dosen zum Einsatz kommen.

Beteiligte Institutionen und Förderung:  Die Arbeit wurde im Rahmen der Exzellenzstrategie des Bundes und der Länder vom Exzellenzcluster ImmunoSensation² der Universität Bonn sowie durch die Deutsche Forschungsgemeinschaft über die Sonderforschungsbereiche SFB 1192, SFBs 1454 und TR237 und IRTG2168 gefördert.

Originalveröffentlichung: Junping Yin et al.: Low-dose glucocorticoids attenuate crescentic glomerulonephritis by inhibiting the local differentiation of proinflammatory neutrophils, in: Science Translational Medicine, 2025, DOI: https://doi.org/10.1126/scitranslmed.adu0351  

Wissenschaftlicher Kontakt:
Prof. Christian Kurts
Institut für Molekulare Medizin und Experimentelle Immunologie des UKB
Exzellenzcluster ImmunoSensation² und TRA – Life and Health der Universität Bonn
E-Mail: ckurts@uni-bonn.de

Wird geladen