Universität Bonn

Medical Faculty

Services

In the Microscopy Core Facility we also offer electron microscopy and sample preparation for EM. In most cases we will define a project and set up a price based on that project. So, do not hesitate to contact us to discuss your proposed projects. Most often the electron microscope will be operated by core personnel, however under special circumstances we also consider training people on the EM or sample preparation.

If you are interested in our services, please contact us.


MCF_Logo_900px.png
© MCF
Services Collection
  • 230427-36211_K1_2395_2nmpx_crop.jpg

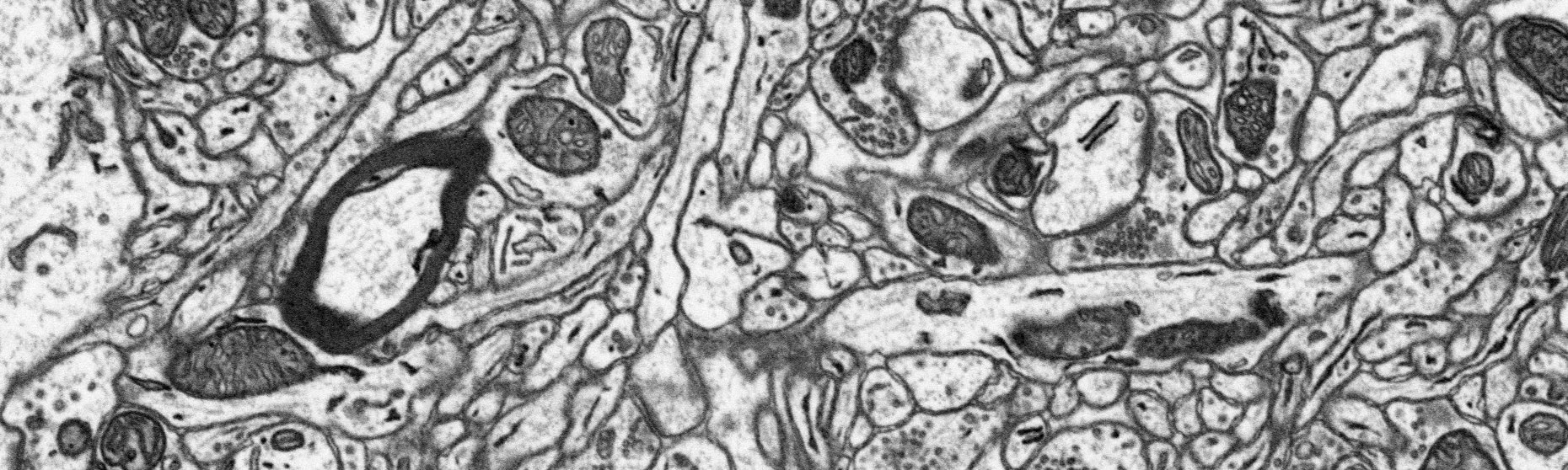
    Scanning Transmission Electron Microscopy (STEM)

    Our core facility offers high-resolution STEM (Scanning Transmission Electron Microscopy) imaging for detailed 2D analysis of thin specimens. In STEM mode, a finely focused electron beam is scanned across the sample, producing clear and high-contrast images of ultrastructural features. This technique is well-suited for examining fine details within biological and material samples. Additionally, we offer the possibility of mosaic scans to capture larger areas while maintaining high resolution.

  • 250429_3255_try3_slice_00041_z=0.4693um_inv_mod_small.jpg

    Volume Electron Microscopy - FIB-SEM

    Our core facility offers volume electron microscopy using FIB-SEM (Focused Ion Beam Scanning Electron Microscopy) for high-resolution 3D reconstruction of ultrastructural features. This technique combines precise ion beam milling with serial SEM imaging, allowing detailed visualization of internal structures across volumes typically in the range of a single cell (e.g., ~10 × 10 × 10 µm³). FIB-SEM is especially suited for exploring the organization of subcellular components in three dimensions at nanometer resolution. Automated acquisition workflows ensure consistent data quality and enable targeted volume analysis with high spatial accuracy.

  • 240125_2647_004_crop_small.jpg

    SEM imaging

    We offer high-quality SEM imaging focused on surface topography to reveal fine structural details of a wide range of samples. Using secondary electron detection, this technique provides excellent contrast for surface features such as texture, morphology, and microstructural patterns. SEM topography imaging is particularly well-suited for biological specimens, and materials science. Our team ensures optimal imaging conditions and supports users with sample preparation and interpretation of results.

  • 20250124_I_Core_Facility_2_2478.jpg

    Ultramicrotomy

    We offer precision ultramicrotomy services to produce ultra-thin sections, typically ranging from 50 to 100 nanometers, essential for electron microscopy analysis. Using state-of-the-art ultramicrotomes, our skilled technicians carefully slice embedded samples to reveal fine cellular and material structures. This delicate process minimizes distortion and maximizes section quality, facilitating detailed imaging at the nanoscale. We also provide expertise in section mounting and staining to enhance visualization.

  • services.png

    Resin embedding

    Our EM unit specializes in resin embedding to preserve biological and material samples with exceptional structural integrity. This process involves infiltrating samples with high-quality resins that harden to provide stable support during sectioning. We tailor embedding protocols to suit a variety of specimen types, ensuring optimal contrast and preservation for electron microscopy. Proper resin embedding is critical to obtaining clear, artifact-free images at the ultrastructural level.

  • 20250521_093704_crop.jpg

    Sputter Coating

    To improve imaging quality in (FIB-)SEM, we offer sputter coating of samples with a thin conductive metal layer (e.g. platinum). This process minimizes charging effects and enhances signal contrast, particularly for non-conductive or delicate specimens. Sputter coating ensures a uniform, fine-grained metal layer that supports high-resolution imaging.

  • cellbox1.jpg

    Sample transfer

    To ensure the integrity of sensitive samples during transport, we provide a secure sample transfer service using a mobile CO2 and temperature-controlled incubator. This setup maintains optimal environmental conditions, preventing sample degradation or alteration. For eco-friendly and efficient delivery, we utilize an electric bike (E-Bike) system capable of rapid and reliable transport. Our coordinated approach guarantees that samples arrive in perfect condition for analysis at our facility or partner labs.

Wird geladen